Aug. 17, 2011
VCU Medical Center Offers Lung Cancer Screening Program
Share this story
The Virginia Commonwealth University Medical Center has launched a comprehensive Lung Cancer Screening Program - a multidisciplinary team of thoracic and interventional radiologists, cardio-thoracic surgeons, pulmonologists and smoking cessation experts who are working together to find lung cancer earlier, provide necessary resources if treatment is needed and educate and support patients.
In the United States, lung cancer is the leading cause of cancer death in both men and women. The disease is difficult to detect and there are not many early signs or symptoms. As a result, most patients with lung cancer usually do not end up seeing their primary care physician until they have already begun to show advanced symptoms. At this point, the disease, which may have been developing for years, may have already spread outside the lungs limiting those treatment options available to the patient.
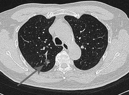
But now, recent scientific data has demonstrated that low-dose helical computed tomography (CT) scans may detect lung cancer at an earlier stage in high-risk patients, such as those who are or once were heavy smokers. This screening tool offers detection when the tumors are likely smaller and at a stage where more treatment options are likely available.
Historically, there have been no well accepted screening programs or blood tests for the early detection of lung cancer. Chest X-rays have been used in the past, but the smallest lung cancers detected are already between 0.2-0.4 inches in size when first found, or are only detected at a later stage of the disease.
It is estimated that 85 to 90 percent of lung cancers in this country are linked to cigarette smoking.
“Lung cancer is a big problem in this country,” said Mark Parker, M.D., professor of diagnostic radiology and internal medicine in the VCU School of Medicine and the section chief of thoracic imaging for the VCU Medical Center. “Now we have technology that we didn’t have before. This test could for the first time positively impact our patients by identifying a potential problem early on, when more treatment options are available.”
Parker played a key role in establishing the Lung Cancer Screening Program at VCU.
“Our goal at VCU is to optimize patient care by offering experts in diagnostic thoracic radiology, pulmonology, thoracic surgery, nuclear PET radiology, interventional radiology and oncology across the board – hopefully our patients will not need each and every one of these experts – but we have them available here for each patient if it’s indeed necessary,” he said.
Supporting data
The VCU initiative was based on data released in late 2010 from the National Cancer Institute’s National Lung Screening Trial – the world’s largest randomized study of lung cancer screening in high-risk persons to date. This study reported that high-risk individuals who received at least three annual low-dose helical CT screens had a reduced risk of dying from lung cancer when compared with those who received standard annual chest x-rays alone.
Further support for the benefits of the low-dose CT lung scan came this past June, with the electronic release of the National Lung Screening Trial results in the highly respected, peer-reviewed New England Journal of Medicine. The article reported a 20 percent reduction in mortality from lung cancer in patients who had undergone the CT screening.
Since the initial release of the National Lung Screening Trial results in November 2010, 23 academic medical institutions across the country have launched lung cancer screening programs – three of which have modeled their programs after the VCU Medical Center’s comprehensive, multi-disciplinary approach. An added benefit of the VCU program is that in addition to the screening CT exam, patients have the opportunity to meet with a smoking cessation counselor to learn about ways to “kick the habit.”
The screening test
Candidates for lung cancer screening include current and/or former heavy smokers over the age of 55, who smoke or had smoked an average of more than one pack per day during a 30-year period.
According to Parker, the screening CT uses a very low-dose of radiation, requires no patient preparation, no IV, no contrast or dye material and is painless and fast. During the test, the CT scanner rotates around the patient, providing detailed images of the inside of their body. The patient will be asked to lie still on a table that passes through the center of the scanner for about seven to15 seconds. Then they are done. The radiation exposure is considered to be a fraction of what people are exposed to on a daily basis from natural background sources.
The patient’s CT exam is then interpreted by Parker, or one of VCU Medical Center’s thoracic radiologists, with consultations from expert thoracic surgeons and pulmonologists as needed.
The patient’s primary care physician will receive the CT exam results that same day, usually within a few hours of the exam. The cost of the screening test is $299 and is not currently covered by insurance or other third party payers.
“Right now, most insurance plans do not cover the cost of the initial CT screening, but for current smokers, the cost of screening is just a fraction of what is spent in a day, month or year on their cigarettes,” said Parker.
“For example, the average smoker spends about $5.50 per pack of cigarettes each day. There may be some variation depending on the particular brand and where they purchase their cigarettes. But a $5.50 per pack per day, this averages about $165.00 per month or almost $2,000 per year. A fraction of the cost of the screening CT.”
For more information, call 804-828-3768, or visit www.vculungscan.com.
Subscribe to VCU News
Subscribe to VCU News at newsletter.vcu.edu and receive a selection of stories, videos, photos, news clips and event listings in your inbox.